徳島問屋町KT歯科|徳島市問屋町の歯医者|ホワイトニングコーディネーター在籍 徳島問屋町KT歯科|徳島市問屋町の歯医者|ホワイトニングコーディネーター在籍
  • ホワイトニング特徴
  • 審美・ホワイトニング
    • ホームホワイトニング
    • オフィスホワイトニング
    • デュアルホワイトニング
    • セラミック治療
    • PMTC
    • リップエステ
    • ガムピーリング
    • ブライダルメニュー
  • 一般診療
    • 訪問歯科診療
    • 矯正歯科
    • 予防歯科
  • Q&A
  • スタッフブログ
  • アクセス情報
  • 無料WEB予約

お口の健康の、その先に。

詳細を見る

デュアルホワイトニング

ガムピーリング

セラミック治療

PMTC

オフィスホワイトニング

ブライダルメニュー

ホームホワイトニング

リップエステ

未分類

ホワイトニング

未分類

ICON(ホワイトスポット)治療

未分類

最近行ったホワイトスポット治療ICON

未分類

フッ素入り歯磨き粉どのくらい使う❓

未分類

カリエスコントロールQ&A(カリエス………虫歯)

スタッフブログ

ホワイトニング期間中はどんな歯磨剤を使えばいいの❔

未分類

細菌因子・・・BOPは大事件(前回からの続編)

未分類

常在菌は必要だから常在している☝️

電話をする
仮ネット予約をする
  • ホーム
  • ブログ
  • スタッフブログ 未分類
  • ホワイトニング

未分類

ホワイトニング

  • 2026.01.09

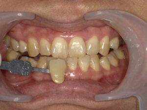
先日行ったホワイトニングです。

ホワイトニング前

ホワイトニング後

しみることもなく、希望の明るさまで白くすることができました!

ICON(ホワイトスポット)治療

前の記事

関連記事

未分類

当院で最近行ったホワイトニング症例‼️

2023.09.01

未分類

歯ぎしりについて

2023.05.10

未分類

30代からの悪性虫歯

2023.09.25

未分類

⭐GW休診のお知らせ⭐

2023.04.28

未分類

ガムピーリング🌈

2023.07.29

未分類

歯科技工士が薦める入れ歯洗浄剤

2023.07.14

最近の記事

  1. ホワイトニング

    2026.01.9

  2. ICON(ホワイトスポット)治療

    2025.10.28

  3. 最近行ったホワイトスポット治療ICON

    2025.09.26

カテゴリー

  • スタッフブログ
  • 未分類
アーカイブ
  • 2026年1月
  • 2025年10月
  • 2025年9月
  • 2025年7月
  • 2025年6月
  • 2025年2月
  • 2025年1月
  • 2024年12月
  • 2024年11月
  • 2024年10月
  • 2024年9月
  • 2024年7月
  • 2024年6月
  • 2024年5月
  • 2024年4月
  • 2024年3月
  • 2024年2月
  • 2024年1月
  • 2023年12月
  • 2023年11月
  • 2023年10月
  • 2023年9月
  • 2023年8月
  • 2023年7月
  • 2023年6月
  • 2023年5月
  • 2023年4月
  • 2023年3月
  • 2023年2月
  • 2023年1月
  • 2022年12月
  • 2022年11月

24時間 ネット仮予約

ネット仮予約をする

電話予約をする

088-678-4618

時間 月 火 水 木 金 土
09:00~13:00 ○ ○ ○ 休 ○ ○
14:00~18:00 ○ ○ ○ 休 ○ ○

※休診日:木曜・日曜・祝日

〒770-8056 徳島県徳島市問屋町48

  • 当院の施設基準の届け出について

Tokushima tioyamachi KT dental © 2022

  • ホワイトニング特徴
  • 審美・ホワイトニング
    • ホームホワイトニング
    • オフィスホワイトニング
    • デュアルホワイトニング
    • セラミック治療
    • PMTC
    • リップエステ
    • ガムピーリング
    • ブライダルメニュー
  • 一般診療
    • 訪問歯科診療
    • 矯正歯科
    • 予防歯科
  • Q&A
  • スタッフブログ
  • アクセス情報
  • 無料WEB予約